آشنایی با انواع عکس دندان و نحوه استفاده در تشخیص
عکس رادیوگرافی دندان ابزاری حیاتی در دندانپزشکی است که دیدی فراتر از معاینه بالینی را برای تشخیص پوسیدگی، عفونتها و مشکلات ساختاری فراهم میکند. این تصاویر برای برنامهریزی دقیق درمان، از جمله ایمپلنت و ارتودنسی دندانها، و پیگیری سلامت دهان و دندان ضروری هستند.
انواع عکس دندان
رادیوگرافی دندان شامل روشهای مختلفی است که هر کدام اطلاعات خاصی را برای تشخیص وضعیت ساختار دندان انسان و بافتهای اطراف آن ارائه میدهند. آگاهی از انواع این تصاویر، به ویژه OPG (پانورامیک) و عکس داخل دهانی (Bitewing)، در انتخاب درست روش تصویربرداری توسط متخصص دندانپزشکی در کاشان نقش دارد.
رادیوگرافی پانورامیک
عکس پانورامیک دندان یا پانورکس opg دندان در کاشان، تصویری گسترده از تمام دندانها، فکها، و ساختارهای اطراف آن در یک فیلم واحد است. این عکس رادیوگرافی دندان برای ارزیابی کلی سلامت دهان و عکس دندان عقل بسیار کاربردی است. این روش دید خوبی برای ارزیابی کلی عکس دندان فک بالا و پایین به ما میدهد.
استفاده از عکس رادیوگرافی دندان ابزاری حیاتی برای تشخیص پوسیدگی در مراحل اولیه است. دندانپزشک با مشاهده عکس پوسیدگی دندان میتواند عمق ضایعه و تأثیر آن بر ساختار دندان انسان را ارزیابی کند. در مواردی که پوسیدگی به عصب رسیده باشد، ممکن است نیاز به انجام عصب کشی در کاشان باشد. رادیوگرافی دقیق به دندانپزشک کمک میکند تا مناسبترین روش درمان را انتخاب کرده و از سلامت طولانیمدت دندان اطمینان حاصل کند.
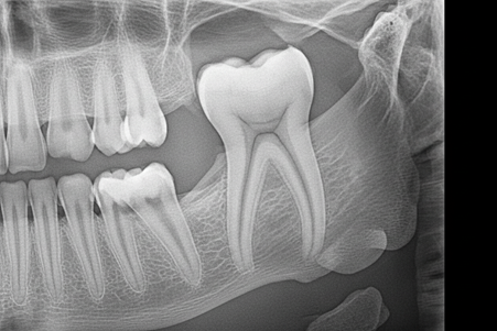
عکس داخل دهانی
عکس داخل دهانی (Bitewing) در دندانپزشکی به منظور تشخیص پوسیدگی بین دندانها و ارزیابی ارتفاع استخوان اطراف آنها گرفته میشود. این نوع عکس رادیوگرافی دندان با قرار دادن فیلم یا حسگر داخل دهان انجام شده و در تشخیص پوسیدگی در مراحل اولیه بسیار دقیق است.
پری اپیکال
عکس پری اپیکال (Periapical) تصویری دقیق از کل دندان، از تاج تا نوک ریشه، و استخوان اطراف آن است. این عکس رادیوگرافی دندان در بررسی عفونتهای اطراف ریشه (مانند آنچه که نیاز به عصب کشی در کاشان دارد) و ارزیابی پیشرفت بیماریهای لثه اهمیت دارد و برای تشخیص عفونت دندان لازم است.
سی تی اسکن دندان
سی تی اسکن دندان (CBCT) یک تصویربرداری سهبعدی با جزئیات بالاست که برای برنامهریزی پیچیده مانند قرار دادن عکس ایمپلنت دندان و جراحی دندون عقل در کاشان حیاتی است. این نوع عکس رادیوگرافی دندان اطلاعات دقیقتری از ارزیابی استخوان فک و موقعیت اعصاب را ارائه میدهد.
درک دقیق از عکس ساختار دندان انسان برای برنامهریزی درمانهایی مانند ایمپلنت در کاشان و ارتودنسی در کاشان ضروری است. تصاویر رادیوگرافی، بهویژه سی تی اسکن دندان (CBCT)، جزئیات کاملی از استخوان فک، موقعیت ریشهها، و وضعیت عکس دندان عقل را فراهم میکنند. این تصاویر دیدی کامل به متخصص میدهند تا بتواند طرح درمان جامعی را پیشنهاد دهد؛ مثلاً، اگر بیمار از دندانپزشکی اقساطی در کاشان خدمات دریافت کند، این تصاویر بخش مهمی از پرونده پزشکی او خواهند بود.

عکس دیجیتال دندان
عکس دیجیتال دندان جایگزین مدرن و با دوز اشعه کمتر برای فیلمهای سنتی است. این تصاویر به سرعت روی صفحه نمایش ظاهر میشوند و امکان ذخیره و به اشتراکگذاری آسان را برای متخصصان دندانپزشکی فراهم میکنند، که در روند برنامه درمان ارتودنسی بسیار موثر است. عکس دیجیتال دندان کیفیت بالای تصویر برای تشخیص پوسیدگی فراهم میآورد.
عکس دیجیتال دندان نشاندهنده یک پیشرفت مهم در فناوری عکس رادیوگرافی دندان است که جایگزین سیستمهای سنتی مبتنی بر فیلم شده است. در این روش، به جای فیلم، از یک حسگر الکترونیکی حساس برای ثبت تصویر استفاده میشود که بلافاصله تصویر را به کامپیوتر منتقل میکند. این تکنولوژی بخش جداییناپذیر کلیه خدمات دندانپزشکی در کاشان و دیگر مناطق شده است.
کاربرد هر نوع عکس
استفاده بهینه از هر عکس رادیوگرافی دندان مستقیماً به نوع مشکل و درمان مورد نیاز، از ارتودنسی در کاشان تا ایمپلنت در کاشان، بستگی دارد. انتخاب درست نوع تصویربرداری، دقت تشخیص را بالا میبرد.
تشخیص پوسیدگی و عفونت
عکس داخل دهانی (Bitewing) برای تشخیص پوسیدگی بین دندانها و در مراحل اولیه بسیار مهم است، در حالی که عکس پری اپیکال (Periapical) برای تشخیص عفونت دندان در نوک ریشه کاربرد دارد. این عکس رادیوگرافی دندان دید مناسبی برای ارزیابی میزان تخریب ساختار دندان انسان فراهم میکند.
بررسی وضعیت استخوان فک
عکس پانورامیک دندان و بهخصوص سی تی اسکن دندان (CBCT) برای ارزیابی استخوان فک قبل از قرار دادن عکس ایمپلنت دندان و برای بررسی موقعیت عکس دندان عقل ضروری هستند. این ارزیابی برای جلوگیری از آسیب به ساختارهای حیاتی اطراف عکس دندان فک بالا و پایین مهم است.
برنامهریزی درمان ارتودنسی
برای برنامه درمان ارتودنسی، عکس پانورامیک دندان و سفالومتری (نوعی عکس رادیوگرافی دندان) برای بررسی موقعیت دندانها و فکها حیاتی هستند. این تصاویر، از جمله عکس ارتودنسی دندانها، حرکت مورد نیاز برای قرارگیری درست دندانها را مشخص میکنند.
نکات ایمنی و مراقبتها
در حین انجام عکس رادیوگرافی دندان، رعایت نکات ایمنی برای بیمار و کادر دندانپزشکی ضروری است. متخصصان کلیه خدمات دندانپزشکی در کاشان باید کمترین میزان اشعه را به کار ببرند.
با بهرهگیری از تکنیکهای پیشرفته در دندانپزشکی بیهوشی در کاشان، بسیاری از مراجعین با اضطراب شدید یا نیاز به درمانهای طولانی میتوانند مراحل درمانی خود را با آرامش کامل پشت سر بگذارند. یکی از خدمات پرطرفدار، انجام اقدامات زیبایی مانند روکش و لمینت دندان در کاشان است که متقاضیان آن اغلب مشتاق دیدن تغییرات شگفتانگیز در عکس قبل و بعد لمینت دندان خود هستند؛ این تصاویر نه تنها رضایت بیمار را نشان میدهند بلکه به عنوان مستندی از کار حرفهای متخصص دندانپزشکی در کاشان به کار میروند.

محافظت در برابر اشعه
استفاده از روپوش سربی و یقه تیروئید در هنگام گرفتن عکس رادیوگرافی دندان برای به حداقل رساندن میزان تابش اشعه به بدن بیمار حیاتی است. فناوری عکس دیجیتال دندان نیز به کاهش قابل توجه دوز اشعه کمک کرده است.
انجام منظم و کنترل شده
گرفتن عکس رادیوگرافی دندان باید بر اساس نیاز تشخیصی بیمار و با فواصل زمانی مناسب و کنترل شده انجام شود. این امر به جلوگیری از تابش غیرضروری اشعه و پیگیری دقیق وضعیت مانند تشخیص پوسیدگی یا موفقیت عکس ایمپلنت دندان کمک میکند.
پرسشهای متداول (FAQ)
پاسخ به این سؤالات متداول به بیماران کمک میکند تا با آرامش خاطر بیشتری برای انجام عکس رادیوگرافی دندان اقدام کنند و اهمیت آن در تشخیص عفونت دندان و سایر مشکلات را درک کنند.
آیا عکس دندان ضرری برای سلامت دارد؟
با وجود استفاده از اشعه، میزان آن در عکس رادیوگرافی دندان بسیار کم است و با رعایت اصول محافظتی (مثل استفاده از روپوش سربی) خطر آن حداقل خواهد بود. مزایای تشخیص پوسیدگی و برنامهریزی درمان بر خطرات احتمالی آن برتری دارد.
چند وقت یکبار باید عکس دندان گرفته شود؟
فواصل زمانی گرفتن عکس رادیوگرافی دندان برای هر فرد متفاوت است و توسط دندانپزشک بر اساس سن، سابقه بیماری و میزان خطر تشخیص پوسیدگی تعیین میشود. برای مثال، در دندانپزشکی اطفال در کاشان ممکن است فواصل کوتاهتر باشد.
جمعبندی
شناخت انواع عکس رادیوگرافی دندان و کاربرد هرکدام، از عکس پانورامیک دندان گرفته تا عکس پری اپیکال (Periapical)، به تشخیص دقیق و درمان موثر کمک میکند و انتخاب درست نوع رادیوگرافی دندان اهمیت بالایی دارد.
برای انجام کلیه خدمات دندانپزشکی در کاشان مانند ایمپلنت در کاشان، ارتودنسی در کاشان، عصب کشی در کاشان، دندانپزشکی اطفال در کاشان، ترمیم و زیبایی دندان در کاشان، جراحی لثه در کاشان، روکش و لمینت دندان در کاشان، جرم گیری و بلیچینگ دندان در کاشان و دندانپزشکی طراحی لبخند زیبا در کاشان میتوانید به مراکز معتبر دندانپزشکی در کاشان، حتی بهصورت دندانپزشکی اقساطی در کاشان مراجعه کنید.